
أسعار منافسة
نظرًا لوجود عدد كبير جدًا من الحالات ، ولأننا وكلاء لشركات زراعة عالمية ، فنحن قادرون على شراء الغرسات بأسعار تنافسية ويتم تمرير هذه الميزة مباشرة إلى مرضانا.

خبراء في العمل
يتم إجراء عمليات الزرع في مراكزنا من قبل فريق من أخصائي زراعة الأسنان ذوي المهارات العالية وأطباء الأسنان التجميليين للحصول على دقة جراحية متميزة وجماليات ممتازة للابتسامة

أسنان جديدة تدوم إلى الأبد
يترأس مراكزنا فريق مختار بعناية من خبراء زراعة الأسنان. وبعد عملية الزرع يتم تركيب التيجان والجسور ، والتي يتم تصميمها بأقصى قدر من الدقة والجمالية لمنحك الابتسامة المثالية.

نسبة نجاح عالية
لقد حققنا نجاحاً في مجالنا ، حيث قمنا بعمل الآلاف من عمليات الزرع للأشخاص في جميع أنحاء العالم بمعدل نجاح بلغ 96٪.

ضمانات طويلة الأجل
نقدم ضمانات على عملنا ، لأننا واثقون من خبرتنا وجودة العمل الذي نقدمه.

أنظمة الزرع العالمية
نحن نستخدم أفضل أنظمة الزرع على مستوى العالم مثل
الزرعات الاوربيه – الزرعات الالمانيه – الزرعات السويسريه
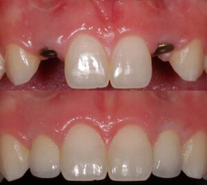
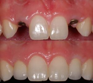
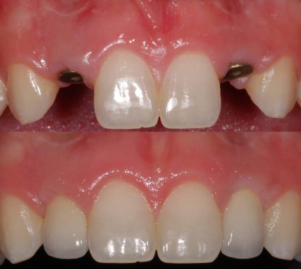
جماليات زراعة الأسنان
يتم تخطيط وتنفيذ إجراء زراعة الأسنان بعناية لضمان أن ترميم الأسنان يبدو طبيعيًا في الشكل واللون والمكان. نعطي الأولوية لراحة مرضانا بالإضافة إلى الجماليات. وهذا يتطلب مزيجًا مثاليًا من العبقرية الفنية والجراحية. لذلك ، يتم تنفيذ جميع حالات الزرع لدينا من قبل فريق من أطباء الأسنان التجميليين وأخصائي زراعة الأسنان.
تقنيات حديثة للزراعة
تضيف اجهزه البانوراما الداخلية واجهزة التصوير ثلاثية الأبعاد بعدًا آخر لتقنية الزرع من خلال صورها الدقيقة للفك والأسنان. هذه الدقة ضرورية لتخطيط ووضع الغرسات. يوفر تقييمًا دقيقًا للبنى التشريحيه مثل الأعصاب وجذور الأسنان والجيوب الفكية ومعرفة طبيعة العظم وكثافة وما إلى ذلك ، مما يمنع أي احتمال للفشل الذي يحدث بسبب التشخيص الخاطئ. تم تجهيز مراكز الزرع لدينا بهذه الآلات المتطورة ، مما يمكننا من تنفيذ كل حالة من حالات الزرع بدقه عاليه وأعلى درجات النجاح.

جماليات زراعة الأسنان
يتم تخطيط وتنفيذ إجراء زراعة الأسنان بعناية لضمان أن ترميم الأسنان يبدو طبيعيًا في الشكل واللون والمكان. نعطي الأولوية لراحة مرضانا بالإضافة إلى الجماليات. وهذا يتطلب مزيجًا مثاليًا من العبقرية الفنية والجراحية. لذلك ، يتم تنفيذ جميع حالات الزرع لدينا من قبل فريق من أطباء الأسنان التجميليين وأخصائي زراعة الأسنان.


































