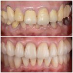
أصبحت ابتسامة هوليوود أحدث الأساليب الحديثة لدى أطباء الأسنان للحصول على ابتسامة مشرقة دائمة، التغلب على مشاكل الأسنان من التسوس أو كسر الأسنان أو مشاكل اللثة وتحسين الشكل الجمالي لابتسامة الشخص.
يتم استخدام ابتسامة هوليوود لغرض تجميلي بشكل أساسي والرغبة في الحصول على ابتسامة مشرقة، لكن هناك بعض المشاكل التي يتم اللجوء فيها إلى ابتسامة هوليوود، مثل:
1- الفراغات والمسافات بين الأسنان التي تؤثر على الشكل العام للابتسامة.
2- اختلاف في شكل وطول وحجم الأسنان وإصابتها بالانحراف أو الاعوجاج.
3- إصابة بعض الأسنان بالبقع والتصبغات.
4- الأسنان ذات الحشوات التجميلية التي تغير لونها مع مرور الوقت عن الأسنان المحيطة بها.

انواع ابتسامة هوليود
1- ابتسامة هوليود الثابتة
تستغرق عملية التركيب نصف ساعة لتحصل على ابتسامة مشرقة.
وهي عبارة عن وضع قشور من الخزف المضاد للبقع والتصبغات على كل سنة بشكل منفرد، يتم اللجوء لها بدأ من عمر 21 سنة لكي يكون اكتمل نمو جميع الأسنان ولتجنب مشاكل نمو ضرس العقل.
2- ابتسامة هوليوود المتحركة.
هي أقل تكلفة من ابتسامة هوليوود الثابتة وأقل صلابة، تعطى مظهر شبه طبيعي، ثبات منخفض يحتاج لمراجعة الطبيب كل سنتين على الأقل
يتم تركيب العدسات الخاصة بالأسنان على شكل غلاف كامل لكل صف من الأسنان وليست على شكل قشور منفردة لكل سن كما الحال في ابتسامه هوليوود الثابتة.

تصميم الابتسامة الرقمية نستخدام أحدث التطورات في التكنولوجيا من خلال خطه علاج تعتمد على تحليل شامل لنسب أسنان المريض ووجهه. والعلاقة بين الشفاه واللثة والأسنان باستخدام الحاسوب

ابتسامه هوليود التجميل
تعالج تغير لون الأسنان والتصبغ
تعالج الأسنان ذات الحشوات الكبيره
الأسنان التي تكسرت.
الأسنان ذات الانحراف وغير متساويه في الحجم والطول
والأسنان التي تحوي فراغات

ابتسامه هوليود
المواد المستخدمه لاتسبب اي حساسيه بسبب خلوها من المعادن.
يمكن تحديد لونها بما يلائم الأسنان
تقاوم تشكل الجير
لا تتسبب في أي روائح كريهة في الفم
حفاظها على صحة الفم
والأسنان
اقل نقل للحراره والبروده



































